Dental Implant Placement - Covington, LA
Complete Smile Renewal
with Dental Implants


Long-Term Results
and Lasting Confidence
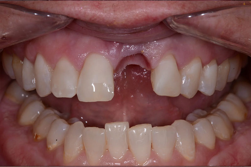
Dealing with missing teeth can be extremely bothersome. From annoying toothaches that won’t go away to teeth shifting in the wrong way, having missing teeth can cause lasting dental hygiene issues. Missing teeth can cause various problems, such as having a difficult time chewing or even getting gum disease. All these issues can have long-term results that can even affect one’s self-esteem, but luckily for you, our team at Magnolia Dental in Covington, LA, offers dental implants that can transform your smile completely!
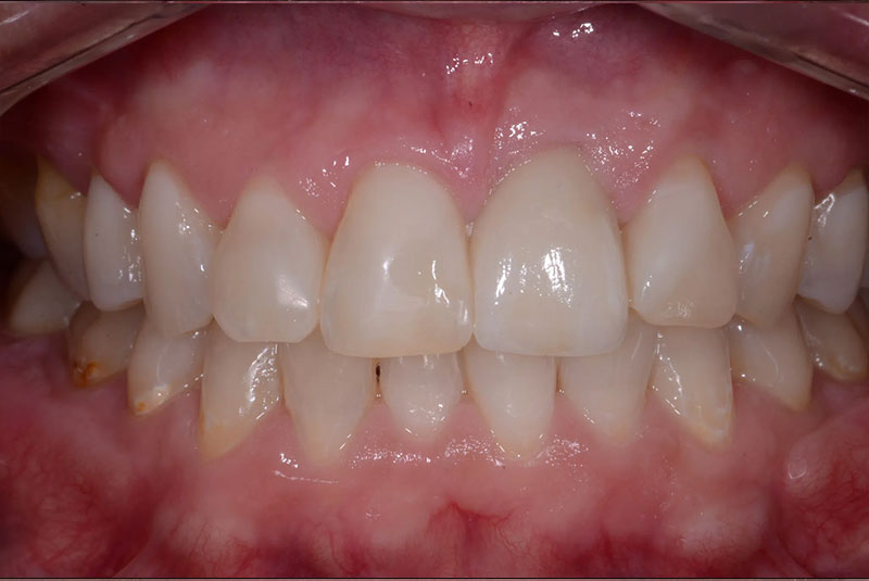
With dental implants, our highly skilled clinicians place artificial tooth roots that look, feel, and function like natural teeth. Thanks to dental implants, you can have a beautiful, restored smile that will last for decades. Whether you need a single implant or a full mouth dental implant, know that we at Magnolia Dental would be happy to help you reach your smile goals.


What Are Dental Implants?
A dental implant is a titanium post that fuses with your jawbone and helps imitate the root of a tooth. Comprised of three parts – the post, an abutment, and a restoration – these components are skillfully integrated into the jawbone, providing unparalleled flexibility for replacing multiple missing teeth.
Implants, whether single or full mouth dental implants, are the preferred tooth restoration solution because of their many advantages. Implants look natural, are long-lasting, prevent bone loss, and can even improve your chewing abilities and speech. If you have one or more missing teeth, single or full mouth dental implants are an excellent solution for those wanting to fix their smiles permanently.

Benefits of Dental Implants
- Improved speech
- Look and feel like natural teeth
- Last a long time
- Lower risk of gum disease
- Helps stimulate and maintain jawbone structure
Intricate Options for a Complete Smile
Dental Implant Procedure Timeline

Consultation & Planning
As with all procedures, we will begin with a consultation. Our team will conduct a thorough oral examination, discuss your medical history and dental concerns, and what you hope to get from your new smile.
With this information, we’ll create a complete treatment plan that addresses your dental concerns and adheres to your smile aspirations and goals while creating a strong, long-lasting, and beautiful smile.

Dental Implant Procedure
Once we’ve created your treatment plan, we’ll have you choose your choice of sedation and begin. We’ll make small incisions in your jawbone and strategically place 4-5 dental implants at a 45-degree angle for optimal support. Once these implants are placed, we’ll attach abutments to each post and fic your temporary restoration so you never have to be without your smile again!

Healing & Final Restorations
Over the next 4-6 months, your implants will fuse to your jawbone through Osseointegration. Once fused, your mouth will be strong enough to support your final restoration. During your last appointment with us, we’ll attach your final restoration to your implant posts, leaving you to enjoy a complete, beautiful smile designed to last! With good hygiene and regular checkups, your smile will remain healthy and last decades.

Top 5 Mistakes People
Make With Dental Implants
Do you have all the information you need to make the right decisions about dental implants? Don’t make any of these five common mistakes. Our exclusive checklist will steer you in the right direction.

Why Choose Magnolia Dental?
At Magnolia Dental, we pride ourselves on our team of high-level clinicians who deliver unmatched dentistry standards. With a patient-centered approach, we prioritize your needs and concerns above all else. Your dental health is our top priority, and we strive to provide personalized care tailored to your unique situation.
Utilizing the latest advancements in dental technology, we ensure that every implant procedure is precise and accurate, offering consistently reliable and predictable outcomes. You can trust our expertise and dedication to deliver exceptional results, enhancing your oral health and overall well-being.

Schedule An Appointment
I understand the information disclosed in this form may be subject to re-disclosure and may no longer be protected by HIPAA privacy regulations and the HITECH Act.






