Invisalign® Clear Aligners - Covington, LA
Redefining Orthodontics with
Clear, Customized Comfort

Correct Your Smile Discreetly
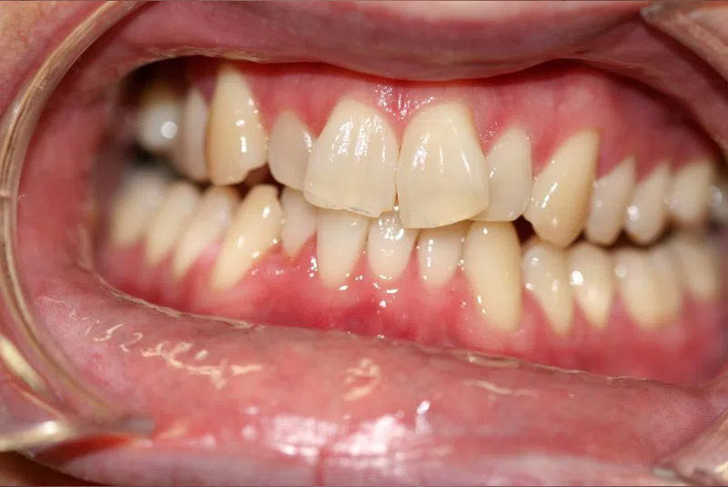
Having crooked, misaligned, crowded, or gapped teeth can cause many issues in your everyday life. You are at a higher risk of getting gum disease, your breath can smell bad due to lingering mouth bacteria, and your confidence can be significantly affected. Our orthodontics team at Magnolia Dental knows how important your dental hygiene is, so we offer Invisalign to help improve your smile!
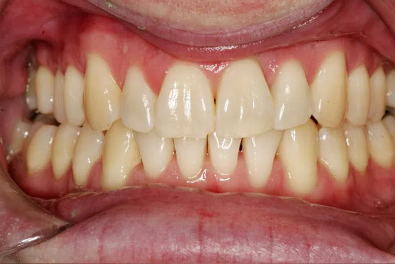
Invisalign is a modern, minimally invasive method to straighten your teeth discreetly. Using clear aligners, this treatment is an excellent alternative to traditional metal braces! The entire orthodontic process helps your teeth move gradually into their correct positions, leaving you with a straight and beautiful smile. The best part? These invisible aligners are so discreet that many people won’t even know you’re undergoing treatment!

Advantages Beyond
Straight Teeth
Although Invisalign clear aligners are primarily used for teeth straightening, they offer additional oral health benefits. This orthodontic treatment can make routine oral hygiene tasks, such as flossing, easier. Having straight teeth can also prevent further oral health issues from forming, such as gum disease.
Those with misaligned teeth can have a bad bite, resulting in temporomandibular joint (TMJ) dysfunction. Invisalign clear aligners offer numerous advantages that can improve oral health and prevent long-term issues.

Our Invisalign Process
Before diving into your Invisalign treatment, we’ll consult to ensure your candidacy. We’ll discuss your oral health concerns, smile goals, and what you want your teeth to look like once your treatment is complete. We’ll then take digital scans of your teeth and create an entire plan, so you know what to expect from your treatment. Once your treatment plan is created, we’ll send the scans of your teeth to our dental lab, where your clear aligners are made.
We’ll attach small, tooth-colored attachments to certain teeth that will hold your clear aligners and gradually shift your teeth into place. Invisalign aligners must be worn roughly 20-22 hours a day and should be taken out when eating, flossing, and brushing. Every 4-6 weeks, you’ll receive new aligner trays to switch out to keep your shifting smile on track with your desired results.


The Benefits of Invisalign
Choosing Invisalign to straighten your teeth comes with a multitude of advantages. One of the most significant benefits is the near-invisibility of the clear aligners, offering a discreet way to achieve a beautifully aligned smile without the visibility of traditional braces. Invisalign aligners are also removable, allowing you to enjoy your favorite foods without restrictions and simplifying oral hygiene routines.
The customized nature of Invisalign treatment ensures a personalized approach, gradually shifting your teeth into the desired position for optimal comfort. Invisalign often requires fewer office visits than traditional braces, making it a convenient and efficient orthodontic solution for busy lifestyles. Say goodbye to metal braces and embrace the clear, comfortable path to a confident smile with Invisalign!




